Modus ClearView 3D劑量計
ClearView 是一種非擴散、放射變色水凝膠劑量計,設計用于驗證包括 SRS 在內的先進放射治療技術。ClearView 通過可視化復雜劑量分布和多病灶劑量測定的復雜細節,幫助用戶確認計劃的治療是否準確進行。放射變色 3D 劑量測定的原理類似于膠片 (2D) 劑量測定。ClearView 的劑量縮放是通過使用同一劑量計中的參考劑量輸送或來自同一制造批次的另一個劑量計的輻照來實現的。
ClearView 旨在用作集成 3D 劑量測定系統的一部分,該系統包括 Vista 16 等光學 CT 掃描儀和分析軟件 Vista ACE(開發中)。
Modus ClearView 3D劑量計特征
設計
ClearView 光學透明、低散射且無色。它包含一種輻射變色指示劑,在照射后會變成紫色。凝膠光衰減的變化與吸收的輻射劑量成正比,從而使劑量分布可視化。
穩定
ClearView 化學品在臨床和研究環境中提供實用性,在推薦的儲存條件下照射前可穩定 60 天以上。信號在照射后的任何時間都是幾何穩定的。
線性響應
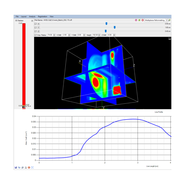
SRS 應用需要高劑量響應劑量計。ClearView 劑量響應在 0 到 80 Gy 范圍內呈線性,為先進的放射治療提供了理想的解決方案。
高分辨率
使用 ClearView 可以實現真正的 3D 劑量測定。與在探測器之間插入劑量數據的二極管陣列不同,ClearView 凝膠在幾何上精確到亞微米級,為您提供患者特定治療計劃的高空間分辨率 3D 表示。
